Nhân một trường hợp động kinh do dị dạng mạch máu não (AVM).
Ngày 01/01/2016, Bệnh viện quân y 121 – Cục Hậu cần Quân khu 9 đã tiếp nhận bệnh nhân L.N.T, sinh năm 1990, thường trú tại Tân Thành – Ngã Bảy – Hậu Giang. Bệnh nhân vào viện trong tình trạng co giật toàn thân, sùi bọt mép, gọi hỏi không biết. Các bác sĩ khoa Ngoại thần kinh đã chẩn đoán bệnh nhân bị Động kinh chưa rõ nguyên nhân.
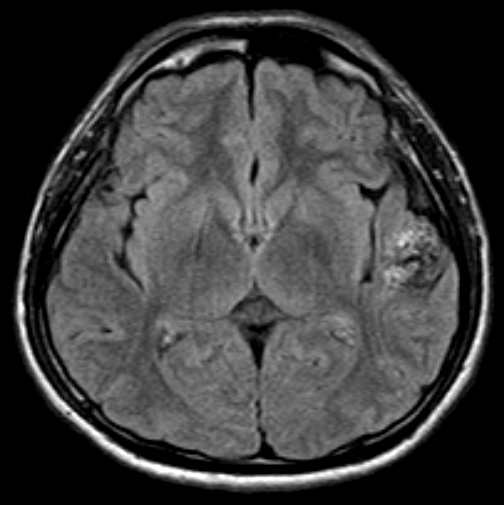
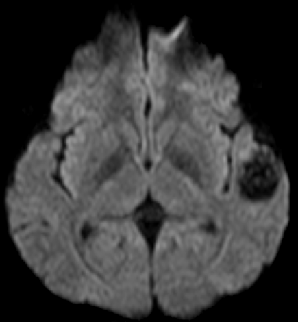
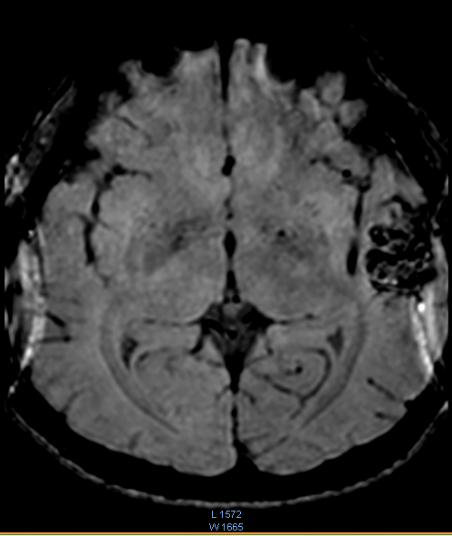
Khoa Chẩn đoán hình ảnh đã tiến hành chụp MRI sọ não với các xung MRA, MRV, dựng hình mạch máu não. Kết quả cho thấy, Bệnh nhân bị dị dạng mạch máu não (AVM) vùng thái dương bên trái có nguồn cung cấp máu từ động mạch não giữa cùng bên (bên trái), tĩnh mạch hồi lưu về xoang tĩnh mạch bên (bên trái).
Hình ảnh tổn thương

T1W

T2W

FLAIR
VEM BOLD

DWI

MRA

MRV
Đây là trường hợp động kinh do dị dạng mạch máu não. Nếu không được chẩn đoán và điều trị sớm thì tỷ lệ xuất huyết não và tử vong là rất cao. Trước đây do thiếu phương tiện nên việc chẩn đoán và điều trị các trường hợp xuất huyết não do dị dạng mạch máu não là vô cùng khó khăn. Bệnh nhân phải chuyển lên tuyến trên trong tình trạng xuất huyết não gây nhiều nguy cơ trên đường vận chuyển và tốn kém cho gia đình. Gần đây, Bệnh viện quân y 121 được trang bị máy chụp MRI độ phân giải cao, đã và đang triển khai thành công mang lại hiệu quả trong công tác khám chữa bệnh cho bộ đội và nhân dân trong khu vực. Trong đó kỹ thuật chụp MRI sọ não trong chẩn đoán đột quỵ, thiếu máu não cấp, cũng như xuất huyết não, động kinh do dị dạng mạch máu não đã góp phần giảm thiểu nguy cơ tàn phế cũng như tử vong cho người bệnh.
Nếu bệnh nhân có các dấu hiệu như đột ngột sụt giảm tri giác, đau đầu giữ dội, nôn ói, chóng mặt, đau đầu kéo dài, huyết áp cao không kiểm soát được, mặt bị méo, động kinh hay yếu liệt tay chân…thì hãy trao đổi với bác sĩ càng sớm càng tốt để được tư vấn, khám sàng lọc, chỉ định chụp CT, MRI nhằm phát hiện sớm dị dạng mạch máu não cũng như phát hiện sớm các thể đột quỵ (nhồi máu não hay xuất huyết não)và mức độ tổn thương não.
Hãy chọn lối sống lành mạnh, tăng cường vận động, không thuốc lá, rượu bia có chừng mực, kiểm soát tốt rối loạn mỡ máu, huyết áp, đường máu, khám và nghe tư vấn định kỳ tại các cơ sở y tế…để giảm thiểu nguy cơ đột quỵ não.
BS CKI Trần Thanh Huệ – Khoa CĐHA
Đăng ngày 18/01/2016







