THÔNG TIN Y KHOA
Bệnh do virus Zika Virus Zika (viết tắt ZIKV) là một loại virus thuộc họ Flaviviridae. Virus này lần đầu tiên được phân lập trên khỉ Rhesus ở rừng Zika của Uganda vào năm 1947. Năm 1968 virus này được…
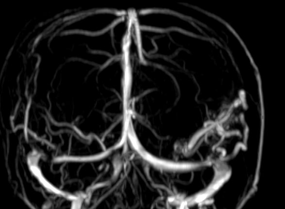
Nhân một trường hợp động kinh do dị dạng mạch máu não (AVM) Ngày 01/01/2016, Bệnh viện quân y 121 – Cục Hậu cần Quân khu 9 đã tiếp nhận bệnh nhân L.N.T, sinh năm 1990, thường trú tại Tân Thành…
Ứng dụng “Cận tam châm” trong điều trị tại Khoa Y học cổ truyền – Bệnh viện Quân y 121 Liệu pháp “Tam châm” do Giáo sư Cận Thụy sáng lập ra, ông là Chủ tịch hội châm cứu trường đại học Trung y dược…
Nhân một trường hợp động kinh do dị dạng mạch máu não (AVM). Ngày 01/01/2016, Bệnh viện quân y 121 – Cục Hậu cần Quân khu 9 đã tiếp nhận bệnh nhân L.N.T, sinh năm 1990, thường trú tại Tân Thành…
Danh mục kỹ thuật khám chữa bệnh Bệnh viện Quân y 121 STTBV STT TT43 TÊN KỸ THUẬT KTTrong TT43 KTNgoài TT43 GHI CHÚ I. HỒI SỨC CẤP CỨU VÀ CHỐNG ĐỘC A. Tuần hoàn 1 1 Theo dõi huyết…
Nội soi phế quản ống mềm trong chẩn đoán và điều trị bệnh lý hô hấp Nội soi phế quản đã được chỉ định để chẩn đoán bệnh trong lĩnh vực hô hấp từ lâu. Thực tế, nội soi phế quản cùng với thăm khám tỉ…
Điện não đồ – phương pháp phát hiện các rối loạn chức năng của bộ não trong các bệnh lý thần kinh Khái niệm: Điện não đồ ghi lại các hoạt động điện sinh học của não bằng cách đặt điện cực ở da đầu…
Điều trị kéo giãn cột sống bằng máy tại Khoa Nội thần kinh và Khoa Đông y tại Bệnh viện Quân y 121 1. Sơ lược giải phẫu và chức năng cột sống: – Cột sống có 32 – 33 đốt sống tạo nên 4 đoạn cong…
Chụp cộng hưởng từ MRI – phương pháp chẩn đoán hình ảnh kỹ thuật cao Chụp cộng hưởng từ (MRI) là phương pháp đưa cơ thể vào trong từ trường mạnh để đồng hóa chuyển động của các nguyên tử Hydro trong…




